EN EN
local anesthesia
全球首家实现局麻
不可逆电穿孔
不可逆电穿孔技术在细胞暴露于短脉冲的高压电场下时,胞膜对于离子和大分子的通透性增加,形成纳米级孔隙,有效的避免了因温度传递而导致的周边非预期治疗部位的意外损伤,能够减少某些特定的并发症和不良事件。

通过宽频谱协同脉冲参数调控,突破现有脉冲电场治疗设备均需要“全身麻醉”难题,实现“局麻治疗”,有效降低手术难度和减少患者治疗成本,实现患者利益最大化。
宽频陡脉冲肿瘤消融仪(<span>维纳刀</span>)

全球首例肝癌消融视频

Ablation range
消融范围突破7CM(革命性进步)

消融范围突破7CM(革命性进步)

消融范围 4cm
消融范围 6.2cm
消融范围 7.4cm

消融示意图

approaches
局部治疗新途径

通过宽频谱协同高压脉冲电场诱导细胞膜、细胞器膜不可逆电穿孔,引起细胞死亡,实现病灶组织的非热选择性消融

局麻,操作简单

扩大范围,提高效率

影像学表现明显,实时可视化

消融区可模拟定制,精确可控

凋亡性死亡,消融完全

非热选择性杀伤,无禁区

Advantage
宽频脉冲消融优势
微创局麻 操作简单
微创局麻 操作简单
可通过电极进行目标区精心雕刻或病灶区覆盖
无肌肉刺激,无需呼吸管理及全麻需求
不影响心率波动,安全性高
在B超或CT引导下即可达到病灶区进行局部治疗
01
扩大范围,提高效率
扩大范围,提高效率
高效率,单组消融只需要2-3 mins
宽范围,单组治疗范围可达7cm以上
缩减针的数量,降低操作难度
02
新物理消融死亡途径
新物理消融死亡途径
靶向细胞不可逆电穿孔诱导细胞凋亡
促进肿瘤细胞释放肿瘤新抗原并激活肿瘤免疫
无热损伤、无热沉效应
03
精确赋能,范围可控
精确赋能,范围可控
可通过单个或多个电极针精确雕刻和控制消融区
个性化精确计算电场有效覆盖,实现目标组织的有效杀伤
消融边界清晰,细胞级精确可控
消融区影像学下清晰可见
04
适用宽泛,突破禁区
适用宽泛,突破禁区
可在任意器官或特殊部位进行
电极可置重要结构附近,无需担心重要结构损伤
最大限度提供根据患者病灶区特点进行个性化治疗的能力
可用于一线治疗、降期处理、姑息性治疗
05
清除病灶,控制损伤
清除病灶,控制损伤
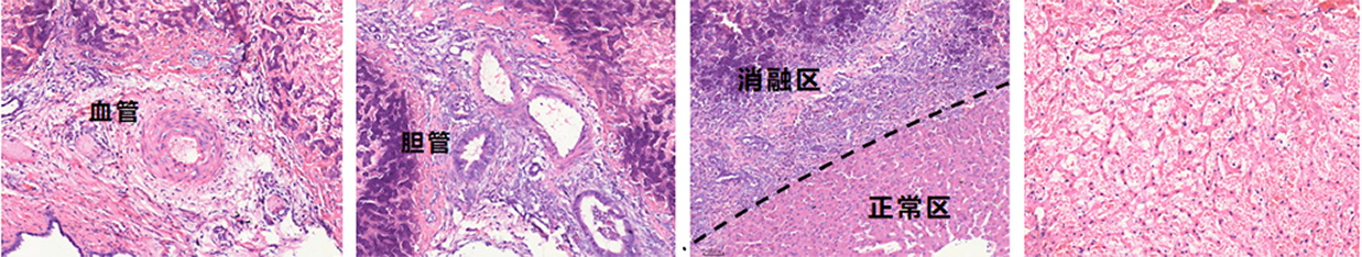
保留目标组织重要管道结构,包括血管、神经、胆管、胰管、尿道等
保留细胞外基质,促进消融后、组织学和功能性组织再生
06